
Большинство обзоров методов лазерной коррекции сопровождаются однотипно довольными отзывами людей, которые на следующий день стали видеть 120% от нормы. Мне же хочется дать чуть другой взгляд на эту процедуру, так как среди моих знакомых есть много людей с различными проблемами со зрением (и с миопией, и с пресбиопией), которые задумываются о коррекции. Тем более так сложилось, что на Habr есть множество отзывов и толковых материалов на эту тему.
Поэтому решил собрать короткий обзор методик с результатами исследований, которые мало кто упоминает, а также поделиться опытом лазерной коррекции в клинике Татьяны Шиловой под общим наркозом. После операции я лишился нормального зрения на один глаз, а работа перед монитором ассоциируется теперь только с жутким дискомфортом и постоянными мигренями.
К выбору клиники меня сподвиг опыт Boomburum — после прочтения его обзора я задумался, что хочется смотреть на лица людей вдалеке без необходимости прищуриваться, тем более исходные параметры у нас были схожие. Но про впечатления чуть позже, сначала поверхностно пройдемся по разным методикам, стоимость каждой рассматривать не буду, так как считаю, что глаза — не то, на чем стоит экономить. Если у кого-то мнение другое, то всегда можно подобрать оптимальную технологию проведения операция исходя из стоимости.
Краткий обзор методов лазерной коррекции зрения
ФРК
Один из самых древних методов коррекции зрения. Эксмимерным лазером выпаривается линза, а также полностью выпаривается боуменова мембрана. Технически — одна из самых простых операций, может делаться полностью автоматически без необходимости прикосновения к глазам.
-
Повышенные риски: хейз, кератонус, болезненный и долгий процесс заживления.
-
Плюсы: отсутствует риск смещения лоскута (при ударе и т.п.), высокая точность при небольших коррекциях.
Коротко — после этой операции можно идти в спецназ в Германии, а также заниматься активными видами спорта. Вот только очень долго, больно и в целом неприятно.
Lasik
Популярный вид коррекции, где с помощью лазера срезается слой роговицы, приподнимается вручную хирургом, после чего выпаривается линза, а крышку кладут на место. Разрез для поднятия лоскута роговицы делается при помощи микрокератома — толщина такого лоскута от 83 до 200 микрометров.
Стандартный Lasik подходит, если есть рубцы на роговице, которые фемтосекундый лазер прорезать не сможет.
А теперь то, о чем мало говорят врачи — высокий показатель побочек, связанных с абберациями. Гало, старберсты и тому подобное — все это очень редко освещается, но очень часто бывает при Lasik. В период до 6 месяцев играет роль размер зрачков: все что больше 8 мм — может приводить к повышенному риску хейза, гало и так далее.
Вот примерно так могут выглядеть гало и звездочки:


Оптическая зона при Lasik меньше, а гало — больше, но в целом результаты сопоставимы со Smile если мы говорим про результаты в долгую, одно из исследований можно почитать тут. А вообще о последствиях Lasik стоит посмотреть вот тут, картинки взяты оттуда же.
-
Плюсы: стоимость, точность центровки.
-
Минусы: создание лоскута, высокий риск возникновения побочек, связанных с аббератическими искажениями.
Super & FemtoLasik
Аналогичный метод, только вместо микрокератома используется фемтосекундный лазер, за счет чего достигается большая точность. Риск смещения флепа ниже, чем при Lasik, но все же присутствует, поэтому не рекомендуется для тех, кто может получить травму глаза.
Короче — если занимаетесь спортом, то подумайте 10 раз, прежде чем делать операцию подобным методом. Есть много историй, когда после удара по глаза флеп не смещался, но даже 1% риск достаточен для меня, чтобы исключить этот метод.
SuperLasik отличается тем, что строится карта вашей роговицы с 200 тысяч контрольных точек, за счет чего достигается высокая точность коррекции при операции. По факту, операция делается по вашему профилю, а это уменьшает риск возникновения неприятных аберраций, которые могут возникнуть после коррекции. Из семейства Lasik — один из лучших методов, к тому же дает вау-эффект за счет крайне быстрой стабилизации зрения до хорошего уровня.
-
Плюсы: хорошо правит астигматим, быстрый эффект, относительно недолгий период восстановления.
-
Минусы: риск осложнений и быть недовольным результатом (около 6% согласно исследованиям), создание флепа и ограничения на активный образ жизни.
ReLEx Smile
Выпаривание лентикулы происходит внутри роговицы фемтосекундным лазером VisualMax, после чего она извлекается через маленький разрез 2-3 мм. Минимально повреждаются нервы, разрез составляет 2-3мм.
Точность попадания в коррекцию +- 0.5 OD по некоторым исследованиям составляет 83% (это неплохой результат), по другим 93% и совсем незначительно менее точно, чем у Femto Lasik. Но погрешность незначительная, а в долгую результатами ReLEx Smile оказалось довольно больше людей.
Позволю себе выдержку из последнего исследования:
Six months after the surgery, more than 90% of respondents were satisfied with the visual acuity and quality of vision achieved. Notably, difficulties while driving a car at night were experienced in the ReLEx SMILE group by only two persons (3.6%) and in the Femto-LASIK group by four persons (6.4%).
То есть процент негативных сценариев далеко не такой маленький, как рисуется в большинстве клиник.
Тем не менее по большинству найденных исследований могу точно сказать, что после Smile аберраций меньше, чем после Lasik. Вот еще одно исследование с подробным сравнением результатов после двух методов. Не во всех клиниках делается докоррекция Circle, но в клинике Татьяны Шиловой можно сделать и Smile под Smile, если позволяет остаточная толщина роговицы и ее параметры. Это действительно крутая опция.
-
Плюсы: минимальный разрез, отсутствие флепа и всех рисков, связанных с ним. Сниженный риск врастания эпителия), меньшие риски вдолгую.
-
Минусы: дольше восстанавливается зрение в сравнении с Super FemtoLasik, сложная докоррекция в сравнении с другими методами (в нормальных клиниках проблем нет).

Мой опыт коррекции зрения под общим наркозом методом ReLEx Smile
А теперь перейдем к моему опыту коррекции, который сильно отличается по итогу от того, что описал Boomburum. Расписываю с ценами, чтобы понимать к чему готовиться при выборе ReLEx Smile.
Небольшое отступление — у меня покафобия, страх прикосновения к глазам. Штука неконтролируемая к сожалению, поэтому рассматривал коррекцию только под общим наркозом. Но видел много материалов, что при таком подходе может страдать точность операции, поэтому уделил особое внимание предварительным обследованиям.
После каждого обследования консультировался лично у Татьяны Шиловой, чтобы минимизировать риск побочек (ага, наивный).
Подготовка и обследования
1. Первая консультация, которая переросла в незапланированное обследование. Просидел в приемной около 30 минут в ожидании доктора. Дальше много вопросов, отдельно отмечал необходимость сохранить качество зрения вблизи, так как провожу за компьютером от 10 до 14-15 часов в день и еще немного увлекаюсь фотосъемкой. Думаю, что многим тут подобное знакомо.
Очень настойчиво продают полное обследование, обосновывая, что потом придется заплатить часть стоимости еще раз, а без обследования смысла приема нет никакого. Вполне логично. Единственное обидно, что не предупреждают по телефону, чтобы распланировать время нормально.
Меряют давление, авторефрактометром смотрят показатели зрения, составляют карту роговицы и тому подобное. Потом расширение зрачка (минус зрение вблизи), повторное обследование на афторефрактометре.
Отдельно хочу отметить, что просидеть в ожидании доктора после расширения зрачков пришлось около 45 минут и быстро приняли только после того, как напомнил о себе администратору. Можно аргументировать тем, что зрачки долго расширяются, но нет — просто порой забывали про клиентов. Это не критично и клиника потом исправилась, насколько знаю и таких случаев стало меньше. Было вызвано рядом проблем внутри с процессами.
Снова ожидание минут 30-40, распечатки результатов и осмотр глазного дна лично Татьяной Юрьевной.
Далее диалог:
— Снизится ли точность коррекции из-за общего наркоза?
— Нет, у вас идеально отцентровано, все будет хорошо. В вашем случае операция крайне простая.
— Не пострадает ли ближнее зрение?
— Нет, исключено. Максимум — первую неделю будет желание отодвинуть компьютер подальше.
Дальше мне сразу предложили записаться на операцию, но я отказался и сказал, что еще подумаю, а также пройду дополнительное обследование перед принятием решения спустя пару месяцев. Результаты на руки не выдали, не критично.
Стоимость: 15 000р.
2. Сходил еще к паре врачей, запросил выписку по обследованию, чтобы сравнить результаты, выдали из клиники Татьяны Шиловой с ошибкой в дате, так как прием был в мае, а на выписке — июнь.
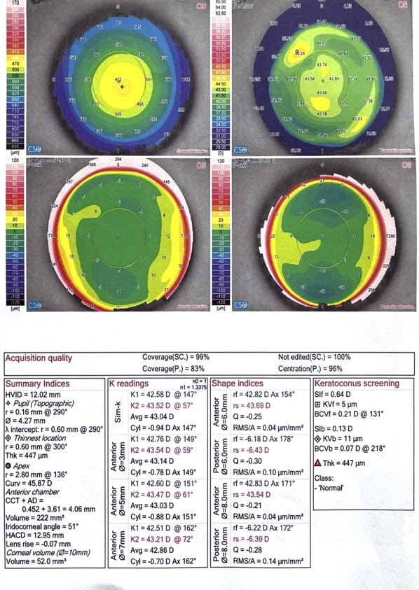
Пример выписки из клиники Татьяны Шиловой:

3. Дальше удаленная консультация у Татьяны Шиловой (была небольшая путаница с неверно записанным телефоном и попытка созвониться на протяжении недели).На консультации задавались следующие вопросы (скриншот из почты для большей наглядности):

На все вопросы получил подробные ответы и что риска по ближнему зрению никакого нет, оптическая зона (не зона вмешательства) составит 8 мм, а остаточная толщина стромы составит примерно 450 мм. Этого достаточно с запасом и практически отсутствует риск возникновения кератонуса.
Еще некоторое время потратил на уговаривание себя, что у врача с таким опытом осложнения маленькие, а возможность видеть мир четко — действительно ценная фича.
День первый. Операция
По приезду в клинику выдают договор, в котором указано, что вы берете всю ответственность на себя и понимаете, что можете лишиться зрения. В целом стандартный договор, но я вычеркнул оттуда разрешение на демонстрацию ролика с операцией в научном сообществе или среди студентов.
Перед операцией я настоял на дополнительном уточнении у оперирующего хирурга, так как меня волновал вопрос широких зрачков 8 мм, при котором зачастую бывает эффект гало и звезд от ярких источников света после коррекции. Доктор уточнила, что в моем случае это исключено и все пройдет отлично. Теперь со спокойной душой можно и на операцию.
Дальше ставят катетер для общего наркоза, а также смотрят присланные анализы, проверяя, что все будет хорошо. Во время промывания катетера случайно обливают всего мелкими каплями крови и физраствора, а также небольшая часть попадает в левый глаз. Медсестра в дружелюбной обстановке шутит и говорит, что это не критично, после чего ведет в комнату ожидания.
Ожидание, проводят в операционную, в которой уже находятся хирург и анестезиолог. Анестезиолог уточняет по поводу аллергии, отвечаю «вроде нет, не знаю, если нужно, конкретизируйте». После чего сам закапываю себе обезболивающими каплями в глаза и ложусь на койку.
Провал, темнота.
Просыпаюсь в абсолютной темноте с повязкой и режущей болью в левом глазу. Крепко укутан простынью к койке, но выбраться можно. Тут же вспоминаю, что трогать глаза нельзя. За 20 минут прихожу в себя и спокойно выхожу в прихожую, но понимаю, что вблизи ничего не вижу. От слова совсем, по ощущениям, как +5: размытость, невозможность сфокусироваться и прочие «радости». Также узнаю в клинике, что дальше меня будет вести другой врач и не важно, что до этого меня принимала Татьяна Шилова. Нет, спасибо — записываюсь на платный послеоперационный осмотр.
Прошу друга вызвать такси до дома, в машине сразу же шторки на все стекла и люк — светобоязнь жуткая, но не критичная. В этот день хочется рекомендовать сон и еще раз сон. Правда спал на всякий случай в кресле, чтобы лишний раз не затронуть глаза (как и в ближайшие 2 дня, просто на всякий случай).
День второй. Осмотр
Жуткий туман, левый глаз с утра болит, не видно вообще ничего вблизи, про экраны телефона/компьютера можно забыть. Вот тут уже начинаю нервничать, так как таких эффектов не должно быть по отзывам большинства.Еду в клинику, за тонированными стеклами не особо заметно, но потом понимаю, что смотреть на любой белый цвет просто невозможно — вокруг огромное гало за счет тумана. Ощущение, что попал в Сайлент-Хилл.
Окей, проводят поверхностное обследование, на котором проверяют правый глаз (он видит сильно лучше левого), ставят единицу. На левом глазу жалуюсь, что ничего не вижу, на что мне советуют «ну прищурьтесь, пробуйте разглядеть». Примерно угадываю буквы, но говорю, что даже несмотря на то, что я кое-как их вижу — все двоится, вижу по две буквы.
После помощника осматривает доктор, жалуюсь на боль, туман, а также двоение в левом глазу. А также полное отсутствие зрения вблизи.
Диалог:
— Болит левый глаз и в целом вообще не вижу вблизи.
— Ничего страшного, такое бывает, это нормально. А зрение вблизи восстановится, у некоторых занимает месяц и более.
— Стоп, что? Мне обещали после двух обследований, что у меня сразу восстановится и максимум, что захочется отодвинуть компьютер чуть подальше. А через 3-4 дня все будет идеально. Есть ли что-то, что может помочь быстрее адаптироваться? Для меня глаза — рабочий инструмент.
— Нет, ничего такого нет. Смотрите вблизь и вдаль у окошка, тренируйте зрение.
Окей, первый тревожный звоночек.
Дальше просят задержаться, так как со мной хочет пообщаться директор по маркетингу клиники Михаил Данилов. Отдельно отмечу, что больше всего помощи в клинике у меня было именно от Михаила, а не от лечащих врачей, он давал дельные советы и оперативно уточнял любую информацию. Пообщались, узнал у него, что он с астигматизмом тоже долго восстанавливался после коррекции (только параметры у него были куда серьезнее моих), тоже были проблемы с одним глазом. Дает дельный совет, что стоит походить к ним в клинику и потренировать глаза на специальном аппарате, в котором меняются линзы, чтобы быстрее натренировать мышцы, а если все хорошо — я сам бы хотел сделать классный кейс для клиники и подсветить у себя.
Вопрос почему мне посоветовал это директор по маркетингу, а не лечащий врач остается открытым. Как окажется потом — эти процедуры экономически не выгодны для клиники, поэтому их и не советуют.
Цена повторного осмотра: бесплатно
Первая неделя. Второй осмотр
Ежедневный поход на занятия, аппарат прикольный: перед тобой стандартная таблица с буквами, внутри аппарата меняются линзы с разными диоптриями, из-за чего приходится сильно напрягать мышцы. Попробовал посидеть за компьютером — невыносимо, ничего не видно, попытка прочитать 1 строку текста сопровождается головной болью, а туман добавляет такой офигенный эффект рассеивания света от IPS-матрицы у MacBook, что даже темные темы не спасают.
Начинаю понимать, что ни о каких пресловутых 3-4 днях восстановления речи больше не идет.
Попасть к оперирующему хирургу нельзя, в отпуске. Прошу предоставить мне настройки лазера, по которым была проведена операция, так как хочу удостовериться, что оптическая зона действительно 8 мм. Сомнения, так как слишком большой эффект гало, который не проходит длительное время. Клиника такой информации не предоставляет, но дали выписку:

Через неделю после операции прошу провести мне полный осмотр, даже если он и будет платным — мне не важно, зрение и возможность работать важнее.
Жалобы: туман перед глазами, двоение и размытость в левом глазу. Невозможность сфокусировать взгляд вблизи. Обещанный срок восстановления прошел, хочется, чтобы дали четкий диагноз.
Проведенные исследования: авторефрактометр, пахиметрия глаза, проверка зрения на таблице, а также осмотр глаза врачом. В этот момент пребываю в культурном шоке от отношения к клиентам в клинике Татьяны Шиловой, что не провели нормальное обследование и что такого по мнению доктора с такими жалобами — достаточно.
Показывают выписку, вижу, что это та же выписка, что и была прислана мне на почту с результатами операции, а не обследования (как я думал, но была моя ошибка).
Вот так выглядят результаты обследования клиента с жалобой на то, что у него не видит нормально глаз. Красным отмечены результаты самого исследования, все остальное — старые результаты, которые уже были:

Следующий осмотр рекомендован через 3 месяца. Спасибо, но нет, с такими жалобами 3 месяца в неведении — несерьезный подход. Хорошо, что я предварительно записался на платную консультацию к Татьяне Шиловой на 13 сентября (ближайшее свободное окно, раньше нельзя, нет времени). Впоследствии мою запись перенесли за 4 дня до приема из-за внезапной конференции. Пришлось переносить прием у другого хирурга.
Вторая неделя. Осмотр в другой клинике
Естественно, такое халатное обследование с такими жалобами меня не устроило от слова совсем. Записался на осмотр в клинику «Сфера» профессора Эскиной к рефракционному хирургу, так как осмотра офтальмолога определенно недостаточно.
Осмотр стоил всего 2900 рублей (честно, был в шоке от такой небольшой цены и несколько раз переспрашивал, вдруг ошиблись, после 15000 рублей на осмотр), но без расширенного зрачка.
В отличие от клиники Татьяны Шиловой меня приняли с задержкой 5 минут, за что отдельно извинились. Провели полный осмотр, хирург объяснила, что в данный момент наблюдается сухость роговицы, но она пока боится что-то прописывать, противоречащее тому, что было прописано в основной клинике. Посоветовала использовать увлажняющие гели (Корнергель или ВитА-ПОС), а также примерно провела расчет остаточной толщины стромы и оптической зоны. Тут отпустило — показатели сошлись, хоть и рассчитаны на глазок и грубо, о чем меня предупредили, но для успокоения посчитали.
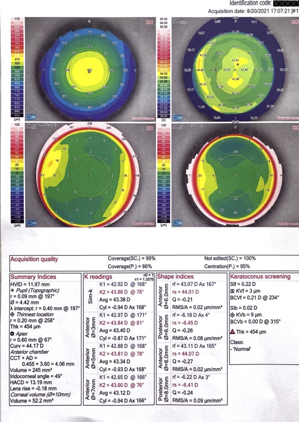
Сравните результаты анализов, которые получаете на руки в клинике «Сфера»:
Результаты анализов из «Сферы»







Третий осмотр
Проводят полную диагностику, в этот раз осмотр проводит сама врач, а не ассистент. Проверка на фороптере (который позволяет автоматически менять линзы, а не вручную), а дальше традиционные исследования роговицы на кератопографе и других аппаратах.
Во время исследования диалог со следующим содержанием:
— На правом глазу единица и выше, на левом VisOS 0.7, а также астигматизм, глаз принимает линзу -0.5, но не больше.
— Как это получилось, у меня был астигматизм -0.5?
— При операции под общим наркозом может страдать точность.
— Нет, простите, не понимаю, мне сказали, что это не повлияет на точность.
Отдам должное доктору — обследование проходило максимально профессионально и очень вежливо, а также оперативно. Действительно приятный прием.
Просят провести обследование с расширенным зрачком. Окей — делаем. Расширяют зрачок и зрение вблизи пропадает совсем. Буквально, вызвать такси — проблема.
Потом опять повторное исследование на авторефрактометре, диагноз доктора, что все показатели идеальные при расширенном зрачке, насколько это вообще было возможно. Это сильно успокоило, может дело в спазме мышц или еще чем-то, что правится без дополнительной операции.
Дальше консультация доктора, дополнительный осмотр левого глаза на микроскопе и диалог:
— Да, у вас и правда не очень хорошо с роговицей.
— Понял, а что у меня с туманом, почему двоится в левом глазу?
— А зачем вы сравниваете глаза, понятно, что они могут быть разные. Мышцы левого глаза могут восстанавливаться дольше, такое бывает, просто подождите еще пару недель/месяц и смотрите двумя глазами.
— Нет, вы не поняли, при просмотре двумя глазами у меня пелена в голове слева. У меня постоянные мигрени и просто головная боль, когда я пытаюсь читать текст с экрана. Я и так не работаю 3 недели почти.
— Да, это неприятно…
Самая интересная и неочевидная часть диалога:
— Доктор, я конечно не врач, но чисто логически, если у меня мышцы нетренированные у глаз — разве я не мог носить не снимая очки 2-3 месяца, чтобы мышцы натренировались, а потом сделать операцию? Разве период восстановления не был бы быстрее?
— Был бы, да.
— Почему меня об этом не предупредили?
— … обычно мы говорим…
Результаты обследования на руки опять не выдали. Желания просить опять не было, так как после капель зрение вблизи отсутствовало и в целом состояние не очень приятное. На руки получил только рецепт следующего типа:

Почти полностью слепой вблизи ухожу из клиники и с огромным трудом вызываю такси до дома. Прикольный опыт на самом деле, имейте ввиду, что после коррекции капли для расширения зрачка так сильно могут влиять на зрение вблизи.
Рекомендации: капли Рестасис, дважды в день, увлажняющие капли Оквис, а также Корнергель на ночь и с утра.
Стоимость консультации и обследования: бесплатно
Рекомендации из моего опыта
-
Если у вас маленькая миопия или пресбиопия, но вы не пользуетесь коррекцией, то перед операцией стоит походить в очках пару месяцев. Это позволит натренировать мышцы на правильную работу и значительно сократит время восстановления. Об этом редко говорят.
-
Если вы надеетесь, что после операции сможете сесть за компьютер — не всегда такое может произойти. Нашел много отзывов, когда работоспособность за экраном монитора восстанавливалась на 2-3 недели только, а до этого люди мучались с болями в глазах. Так что планируйте свое время, а желательно делайте операцию перед отпуском.
-
Как показала практика — грош цена нескольким обследованиям перед операцией, можете не тратить деньги. Только в разрезе года, если хотите проверить динамику.
-
Риск трогать глаза с минусом -1 на мой взгляд — слишком велик.
Бюджет
-
Полный осмотр: 2 х 15000 рублей;
-
Дополнительная удаленная консультация Татьяны Шиловой: 4000 рублей;
-
Операция Smile на оба глаза под общим наркозом: 250000 рублей;
-
Последующий осмотр в «Сфера» у Эскиной: 2900 рублей;
-
Капли Рестасис, курс на 2 месяца: 47600 рублей;
-
Капли для лечения, гели и т.п.: честно, не считал, так как капаешь по 20 раз в день, около 5000-10000 рублей.
Всего на лечение: 344 500 рублей
Сюда не вписываю потери из-за невозможности работать на протяжение 3+ недель и дальнейшую сниженную работоспособность, которые давно превысили сумму лечения в несколько раз. Также дополинительные осмотры в других клиниках аналогично не вписываю.
Итог после месяца с момента операции


Большое гало вокруг белых источников цвета, сложность работы за компьютером, постоянные мигрени. Иногда сижу просто с закрытым левом глазом, чтобы хотя бы немного поработать. Туман потихоньку идет на спад, но двоение в левом глазу не проходит. Для понимания — прочитать текст среднего размера с экрана MBP’16 практически невозможно без напряжения. Можно угадать по очертаниям букв и это при в прошлом идеальном зрении вблизи.
Не теряю надежды на восстановление и что нужно просто больше времени и пытаюсь работать. Дополнительно записался на прием в клинику 3Z, если не будет положительной динамики и расписанного плана лечения в клинике ТШ, то в планах поездка к Вальтеру Секундо в Германию.
Несмотря на такой негативный опыт мне кажется, что Татьяна Шилова хороший хирург по технологии ReLEx Smile в Москве. А вот менеджмент клиники и уровень выписок, поддержка клиентов при таких серьезных проблемах, ожидания в клинике, где иногда нет места присесть и т.п. определенно не дотягивает до необходимого уровня.
И, да, если бы знал, что меня ждет — никогда бы не рискнул делать лазерную коррекцию зрения.
Автор: Никита Гук
