
Когда в шарик с гелем, который представляет из себя глаз, что-то попадает – клетки крови или воспаления, инородное тело или нарушается строение оболочек, возникает необходимость в работе внутри глаза в среде стекловидного тела вплотную к сетчатке. Так вот это и есть витрэктомия – работа по «стрижке» волокон витреума (vitreum) – стекловидного тела, удалению его через тонкие трубки и наполнение глаза какой-то средой – водой, маслом или газом. Это выглядит приблизительно как сборка парусника XVII века внутри непрозрачной бутылки с узким горлышком. Только стенками «бутылки» является сетчатка, которую никак нельзя повреждать.
В общем, глаз можно проткнуть в нескольких местах железками, что-то удалить внутри полости и сохранить при этом сам глаз, да еще и зрение улучшить.
Как потом с этим жить и почему от этого никто не застрахован – сегодняшний пост.
ВИТРЭКТОМИЯ – ГДЕ ПРОВОДИМ «СТРИЖКУ»
Глазное яблоко условно делится на два отдела – передний и задний, границей между отделами служит диафрагма из хрусталика и радужки.

Схема отделов глаза
Полость, которая расположена позади хрусталика как раз и заполнена стекловидным телом, лежащим на сетчатке. Само стекловидное тело представляет из себя волокнистую желеобразную практически прозрачную структуру. Оно занимает около 2/3 объёма глазного яблока, обеспечивает его объем и тонус, а также амортизацию при сотрясениях. Его структура образует тонкую сеть переплетающихся между собой волокон различных форм белка коллагена, окруженного плотным каркасом, который состоит из белковых фибрилл. Само по себе студенистое и вязкое. Об этом я подробно писала здесь: «Летающие мошки» в глазах или откуда берутся «битые пиксели» на в стекловидном теле».

Поскольку волокна этого стекловидного тела довольно интимно прилежат к сетчатке, а местами крепятся к ней, просто так тянуть за эти канаты нельзя. Простой аспирацией как при катаракте (о ней написано здесь) не обойдешься.
Наоборот – тянуть ни в коем случае нельзя! Принцип удаления – мелко «шинковать» и затем отсасывать. Поэтому для работы в полости стекловидного тела требуются специальные хирургические навыки и отдельные машины для выполнения витрэктомии.
Витрэктомия глаза может быть двух видов в зависимости от того, в каком объеме удаляется стекловидное тело — полностью или частично: тотальной (почти все стекловидное тело) и субтотальной или частичной (часть стекловидного тела). Частичная витрэктомия, в свою очередь, делится на переднюю и заднюю.
Внимательный читатель сразу заметит: «Откуда же в переднем отрезке появляется стекловидное тело, которого быть там не должно?»
Так вот в редких случаях стекловидное тело проникает через зрачок или другие отверстия в переднюю камеру глаза. Это может произойти, например, после травмы глаза, во время операции при катаракте или глаукоме, в результате проблем с хрусталиком глаза. Поскольку утечка стекловидного геля может привести к серьезным проблемам с сетчаткой, передняя витрэктомия нужна, чтобы минимизировать риск осложнений и способствовать восстановлению зрения. Выпадение стекловидного геля называется «грыжей» и требует удаления.
Эта операция является важнейшим инструментом в наборе навыков хирурга, который оперирует передний сегмент глаза, но, чаще всего является незапланированным и нежелательным дополнением к хирургии катаракты.

Грыжа стекловидного тела
Витрэктомия, выполняемая при заболеваниях заднего сегмента, называется задней витрэктомией. Этот вид операции проводит специалист по хирургии сетчатки.
ЧТО МЫ МОЖЕМ ВИДЕТЬ ПРИ БОЛЕЗНЯХ СТЕКЛОВИДНОГО ТЕЛА И ПРИ КАКИХ ЗАБОЛЕВАНИЯХ
Ну конечно, чаще всего вот это мушки (стеклистые червячки), плавающие хлопья перед глазами или общий туман, пелену или шторку перед глазами, а также разнообразные артефакты – вспышки, молнии, искривления изображения, прерывистость линий или черное пятно перед глазом, как описано здесь.
А иногда мы не видим ничего – когда проблема находится на крайней периферии – тогда это задача доктора заглянуть через зрачок как в замочную скважину и рассмотреть глаз изнутри. Как это происходит описано тут.
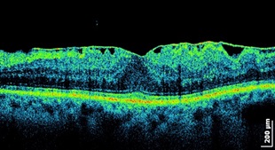
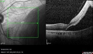
Огромный спектр заболеваний требует проведения подобных операций – сразу с картинками томографии:

Центральные «дырки» или макулярные отверстия;

Сморщивание сетчатки из-за появления над ней плотного слоя стекловидного тела, сращенного с ней (появление эпиретинальной мембраны, эпиретинальный фиброз);

Отслойка сетчатки;
А также диабет глаза – когда в стекловидное тело прорастают ткани с сосудами, кровящие и сморщивающие структуры внутри, кровоизлияния в стекловидное тело (например, из-за травмы или гипертонии), внутриглазные инфекции, ретинопатия у недоношенных и довольно много других неприятных состояний.
ВИТРЭКТОМИЯ – ИНЖЕНЕРИЯ ПРОЦЕДУРЫ
Операции по работе на стекловидном теле — разнообразные и сложные, высокотехнологичные. Почему? Потому что хирург работает на сетчатке глаза толщиной 100 микрон (1/1000 мм), через проколы размером 0,5-0,6 мм, на приборе со сложной оптикой, встроенным лазером и хитрой системой поддержания внутриглазного давления.
Ведь резонный вопрос напрашивается сам – если в глазу как минимум 3 дырки, то почему он не вытекает? Как можно увидеть что-либо в маленьком, темном внутри шарике размером около 24 мм, да еще и проводить какие-то манипуляции в течение нескольких часов?
Современные принципы витрэктомии были разработаны Робертом Макхемером в 1970 году. Machemer создал аппарат для всасывания, который стал первым устройством для проведения витрэктомии с закрытой системой, что было необходимо для контроля уровня внутриглазного давления в ходе операции. Это достижение было монументальным в офтальмологии, поскольку оно впервые позволило контролировать доступ к заднему сегменту глаза!
Первоначально витрэктомия использовалась в основном для очистки стекловидного тела от непрозрачности, например крови. Но вся операция была настолько грубой, что часто тяжесть операции была выше пользы самой операции – отверстия для работы и инструменты были очень большими – целый 1 мм! И да, для сетчатки это много!
В современной офтальмологии технологическое развитие и усовершенствованная аппаратура позволяют использовать эту процедуру гораздо шире.
Хирург обеспечивает доступ к камере стекловидного тела глаза пациента стилетами со специальной заточкой для правильной формы «дырок». Для этого, на расстоянии 3,5 миллиметров от лимба делают одно склеротомическое отверстие с помощью прокола, в которое затем устанавливают порт, помещают инфузионную канюлю и выполняют еще два дополнительных прокола – и устанавливают порты, через которые вводят витреотом и волоконный оптический наконечник (источник света).

Витрэктомия – схематическое изображение
Все порты имеют клапаны, которые не позволяют вытекать жидкости из глаза, а сложная система подачи и контроля введения растворов поддерживает постоянное давление внутри глаза.
Это вмешательство сейчас является стандартной операцией для витреоретинального хирурга и может выполняться амбулаторно. Давно прошли те времена, когда впервые была введена витрэктомия 20 калибра. Теперь у офтальмологов есть 23, 25 и 27 калибровочные системы с улучшенными рабочими циклами и скоростями резания.

Эта процедура подразумевает под собой полное или частичное удаление стекловидного тела путем разрезания и высасывания его с помощью крошечных офтальмологических инструментов, которые вводятся в глаз. Хирургическое удаление стекловидного тела необходимо для беспрепятственного доступа к сетчатке. Хирургом вводятся в глаз гораздо более маленькие инструменты и удаляется рубцовая и патологически изменённая ткань, постепенно выравниваются отдельные участки. В ходе операции часто используется лазером, чтобы укрепить сетчатку в правильном положении.
Витреотом или витректор – как гильотинный нож мелко нарезает, «шинкует» волокна стекловидного тела с огромной скоростью — стандартная частота работы пневматического или электрического витреотома 4 000 — 6 000 резов в минуту.
Я на сегодняшний день работаю на приборе, у которого целых 20 000 резов в минуту и много различных хитрых режимов для того, чтобы можно было безопасно приближаться к сетчатке и «стричь» и «выбривать» ее как можно тщательнее. Это одна из самых современных машин, чертовски быстрая и красивая — от итальянского дизайнера автомобилей знаменитого Giorgetto Guigiaro.

Витрэктомия при отслойке сетчатки
Если осветить глаз изнутри, то просто так ничего увидеть будет невозможно. Поэтому для получения изображения используются сложные оптические системы линз, встроенные в головы современных микроскопов, а также специальные съемные оптические системы. Они дают прекрасный обзор, независимо от рефракции пациента, позволяют работать бесконтактно и с высоким увеличением.
В суперсовременные микроскопы встроены оптические томографы, чтобы не только видеть, но и получать оптические среды маловидимых структур – все это для повышения точности и контроля ручной работы витреоретинального хирурга.
Вся работа выполняется через зрачок, поэтому чем лучше он расширяется – тем больше обзор при работе хирурга. Роговица и хрусталик также должны быть прозрачны – иначе вся картинка будет смазана. Вот почему витреоретинальные операции часто сочетают с хирургией хрусталика – в том числе для улучшения условий для осмотра глазного дна. При непрозрачных средах можно использовать эндоскопы.

Витрэктомия (вид со стороны хирурга)
И самое интересное то, что картинка, которую видит хирург получается в перевернутом «вверх ногами» виде и реально не существует – это мнимое изображение, висящее между глазом и системой линз. Поэтому витреоретинальные хирурги учатся видеть такие образы и фокусироваться на них, а для «переворота» изображения существуют система инвертирования, которая подключается по запросу.
В некоторых случаях при работе удобнее работать с прямыми контактными линзами, установленными прямо на поверхность роговицы, например при работе в центральных областях роговицы – тогда изображение получается прямым и истинным.

Работа через контактную линзу
В большинстве случаев подходит местная анестезия в сочетании со специальными локальными блокадами, но в некоторых случаях, может потребоваться наркоз.
УДАЛЕНИЕ ЭПИРЕТИНАЛЬНЫХ МЕМБРАН – что за тема? КАК И ДЛЯ ЧЕГО ВЫПОЛНЯЕТСЯ?
Эпиретинальная мембрана – конгломерат, состоящий из структур стекловидного тела, перерожденных и спаянных с внутренними слоями сетчатки. Она может как покрывало находиться на поверхности сетчатки, сморщивать ее, разрывать и натягивать, вызывая отслоение. Возникает при воспалении, травмах, отслоении, старении и прочих множественных состояниях глаза.
Чтобы удалить мембрану площадью 3-5 мм толщиной в несколько микрон – это в 70 раз тоньше человеческого волоса, хирург использует специальные тончайшие пинцеты и вручную захватывает мембраны (как правило, предварительно прокрашивая их специальными красителями). Если плотность мембран высокая – мы используем микроножницы и другие «цепкие» инструменты. Если мембрана «кровит» — прижигаем и работаем дальше, освобождая по каждому миллиметру сетчатку. Здесь уместна аналогия со сбором «парусника» внутри бутылки.

Варианты удаления эпиретинальных мембран
А ВЫРАСТЕТ ЛИ НОВОЕ СТЕКЛОВИДНОЕ ТЕЛО ПОСЛЕ УДАЛЕНИЯ?
Удаляемое стекловидное тело, увы, не отрастает, а заменяется жидкостью, которая обычно вырабатывается глазом. Этот гель очень важен во время развития глаз, но не является необходимым для их здоровья или фокусировки после рождения. Так что, в случае необходимости, с ним можно расстаться без сожаления. Витрэктомией устраняются все имеющиеся рубцовые ткани — это позволяет вернуть сетчатку в ее нормальное физиологическое положение.
ЧЕМ ЗАПОЛНЯЕТСЯ ГЛАЗ?
Удаленное стекловидное тело обычно заменяют специальными субстанциями с определенными свойствами. Среди основных требований к заменителям стекловидного надо выделить: высокую прозрачность (через него нужно хоть как-то видеть), стабильность и долговечность, определенную степень вязкости вещества; отсутствие токсичности и аллергенного воздействия.
Чаще всего в качестве замещающей стекловидное тело субстанции используют солевые растворы, перфторорганические соединения, силиконовое масло, искусственные полимеры. Солевые растворы и газы удалять не нужно, они постепенно исчезают сами по себе — после определенного времени их замещает собственная внутриглазная жидкость.

Длительность нахождения газов в глазу
Если в глаз был помещен газовый пузырь, то хирург может порекомендовать пациенту некоторое время держать голову в особом положении. С газовым пузырем или другим веществом в глазу зрение будет размытым и существуют определенные ограничения: пациенту не рекомендуется летать в самолете или путешествовать на больших высотах, пока пузырь газа не исчезнет.

Положение во сне после тампонады «воздух-газ»
А вот силикон в виде масла требует удаления – сам никуда из глаза не денется, пока не откачаешь. Срок использования силиконового масла ограничивается определенным количеством лет. Что касаемо применения искусственных полимеров, например, перфторорганики, то присутствие их в глазу не должно превышать 10 дней – потому как токсичны они.
Выбор раствора-заменителя всегда на усмотрение хирурга – все очень индивидуально. Но принцип общий такой по принципу «бутерброда»– перфторы самые тяжелые, потом тяжелые силиконы (тяжелее воды), солевой раствор, потом легкие силиконы (всплывают вверх), потом газ-воздух. А газы, в свою очередь, расширяются в объеме – так что приходится рассчитывать, что куда, когда и в каком объеме вводить. Так что, если физика-химия не были любимыми предметами хирурга, он быстро решение не примет.
Что и в каких случаях используется перечислено здесь: https://habr.com/ru/company/klinika_shilovoy/blog/409569/
И да, силикон через пару недель-месяцев удаляется из глаза с помощью другого, еще одного оперативного вмешательства. И для него опять же требуется полный набор инструментов, определяющих стоимость. Удаление силикона производится, как только заживает сетчатка.

ИНСТРУМЕНТЫ
В современных машинах для микроинвазивной витрэктомии инструменты продаются одноразовыми наборами (отсюда и высокая стоимость операции) – стоят эти комплекты дорого, но хирургу удобно – все стандартные инструменты под рукой.
В набор – pack входит:
- Пневматический высокоскоростной витреотом – представляет собой специальный цилиндр с ножом (медленно и контролируемо удаляет стекловидное тело) – именно он определяет размер 23-27 G;
- Волоконно-оптические светильники – могут быть широкоугольными или давать фокальный свет. В руке хирурга, как правило, находится один светильник. Но если «темно» или нужна вторая рука, то есть подвешиваемые дополнительные самофиксирующиеся многоточечные светильники-люстры (шандельеры), которые освещают глаз изнутри;
- Инфузионная канюля (инфузионный порт, используемый для замены жидкости в глазу физиологическим раствором и поддержания надлежащего давления глаз). К ней прилагается гибкая трубка длиной около 25 см прикрепляется к источнику инфузии;
- Клапанные порты 23,25 или 27 G

В наборе нет микропинцетов, ножниц, скребцов – того мелкого инструментария, который каждый хирург выбирает «под себя» в зависимости от предпочтений и задач.

Витреоретинальные пинцеты с разной рабочей длиной для нормальных и близоруких глаз.
НЕМНОГО О БЕЗОПАСНОСТИ ВИТРЭКТОМИИ — ОСЛОЖНЕНИЯ И ПОСЛЕДСТВИЯ
Пациенты могут испытывать легкий дискомфорт в течение нескольких дней после процедуры, глаз может выглядеть красным и вообще пару недель вас могут попросить пожить «вниз головой». Все это для блага пациента!
Хотя результаты витрэктомии варьируются в зависимости от индивидуального состояния, большинство пациентов испытывают улучшение остроты зрения после этой процедуры. Однако гарантии, что, например, сетчатка снова не отвалится дать невозможно – такой риск всегда присутствует.
Операция считается безопасной в опытных руках, а в неопытные не советую попадать – можно совсем потерять зрение. Но даже при идеально проведенной с технической точки зрения операции существуют определенные риски. Некоторые из них включают отслоение сетчатки (5.5-10% случаев), появление отеков, рост новых кровеносных сосудов, инфекцию (около 0.039-0.07% случаев) и кровотечение (гемофтальм). Образование катаракты часто ускоряется у тех пациентов, которые ранее не оперировались по ее удалению.
Продолжительность операции варьируется от одного до нескольких часов, в зависимости от состояния пациента. У меня иногда бывают пациенты, которых оперировать приходится по несколько часов! В определенных ситуациях врач может выполнить другую хирургическую операцию, например, удалить катаракту.
Витрэктомия в 86 % случаев через полгода вызывает катаракту у людей старше 50 лет, в 4 раза увеличивает риски глаукомы, в 5 раз риски отслойки сетчатки, может приводить к выпадениям в полях зрения. Поэтому делается только по показаниям.

КОГДА РАЗМЕР ВАЖЕН
И тут имеется обратная зависимость – чем меньше, тем лучше (в большинстве случаев, но не всегда).
27 G – это меньше, чем 23 G, а тем более 20 G!

Стилет и наконечники витреотомов в сравнении
Микроинвазивная закрытая задняя витрэктомия менее травматична, значительно снижает риск развития интра- и послеоперационного кровотечения, может проводиться в амбулаторных условиях, для этого не требуется госпитализация пациента в стационар. Она обычно проводится под местной анестезией с седацией (пациент бодрствует во время процедуры, но не ощущает боли, но видит выполняемую процедуру). Значительно уменьшена длительность реабилитационного периода.
НАСТОЯЩЕЕ И БУДУЩЕЕ – КОНЕЧНО, РОБОТЫ
На европейском офтальмологическом конгрессе в Париже в этом году представлена роботизированнная рука хирурга — она позволяет уменьшить тремор и повышает точность до непостижимую высоту!

Наступила эра цифровой визуализации в микрохирургии — с помощью 3D систем мы имеем возможность оперировать, глядя не в окуляры микроскопа, а в очках 3D на экран дисплея – это повышает эргономику и позволяет значительно (в 2,7 раз) увеличить глубину поля зрения врача в ходе процедуры, а также объемно детализировать для специалиста участок оперативного вмешательства. Используется комплекс в качестве дополнения к хирургическому микроскопу.
Система состоит из высокотехнологичной трехмерной камеры высокой четкости и станции, которая транслирует изображения, непосредственно в ходе операции или в записи. Благодаря использованию новой системы улучшается общая визуализация процесса операции – врач видит трехмерную картинку, может при необходимости увеличивать изображения на интересующем участке, накладывать фильтры для выделения определенных тканей и так далее. Это в итоге ожидаемо отражается на качестве хирургических манипуляций, в значительной мере повышает эффективность и безопасность операций, делает их более комфортными, как для пациента, так и самого хирурга.
ВЫВОД
Витреоретинальная хирургия — это сложный комплексный, часто многоэтапный процесс, с трудом поддающийся стандартизации. В тяжелых случаях — это затратная хирургия продолжительностью до 2,5-3 часов.
Доверяйте свои глаза профессионалам. Знайте, что у нас – витреоретинальных хирургов есть суперсистемы для визуализации в витреальной полости (микроскопы, системы широкого обзора, осветители, эндоскопы). На помощь нам пришла химия со своими материалами: перфторами, силиконами, газами и мы знаем, чем и когда «надуть» глаз безопасно. Для фиксации сетчатки есть специальные лазеры и «замораживающее» крио и даже «ретинальные гвозди». Современные способы позволяют практически во всех случаях расправить, очистить и адаптировать сетчатку в любой ситуации – но лучше с этим не затягивать!
Автор: TShilova
