Можно перекроить лицо, сделать грудь больше или внести пару изменений в интимную зону. А вот пластика десны (гингивопластика) — понятие для многих пациентов нашей клиники незнакомое. Хотя поправить можно много чего. Мне как практикующему ортопеду и хирургу такое положение дел не нравится. Не из личной гордости — просто вовремя проведённая операция на дёснах помогает моим пациентам избежать более серьёзных стоматологических проблем.
Пластика десны — это когда мы перекраиваем, урезаем или, наоборот, наращиваем дёсенную ткань. Для эстетики и красивой улыбки и по медицинским показаниям. Вообще эта операция используется для лечения разных патологий, но мы рассмотрим её в контексте рецессии десны.
Поэтому в статье раскроем следующие моменты:
- Как устроены зубы и десна человека.
- Что такое рецессия десны, чем она вызывается и к чему может привести.
- Как и когда лечится рецессия десны.
- Как проводится пластика десны.
- Как и сколько длится восстановление после операции.
- В каких клиниках она проводится и сколько стоит.

Рецессия десны до и после пластики
Осторожно, под катом фотографии самой процедуры интраоперационно. Если вы сейчас едите, может излишне впечатлить.
Как устроены наши зубы и десна?
Если не вдаваться в подробности, то каждый зуб расположен в лунке альвеолярного отростка — гребневидного костного нароста. Со всех сторон альвеолярный гребень и корень зуба окружены десной — образованием из мягких тканей, в структуре которого выделяется несколько зон:
- прикреплённая (альвеолярная) — она состоит из ороговевшего эпителия и прочно прикреплена к надкостнице альвеолярного отростка, имеет ширину 1–9 мм;
- маргинальная — состоит из гладкой краевой части шириной 0,8-2,5 мм, прикрывающей шейку зуба, и треугольных по форме участков, расположенных между соседними зубами (межзубных или десневых сосочков).
В свою очередь, сам зуб состоит из следующих зон:
- коронки — внешней части, покрытой твёрдой (397,6 кг/мм²) эмалью, на которую приходится основная нагрузка при пережёвывании пищи;
- корня — внутренней части, покрытой цементом, которым зуб плотно закреплён в костной альвеоле;
- шейки — зоны перехода коронки в корень, причём клинически шейку определяют по краю десны, а с точки зрения анатомии там, где зубная эмаль переходит в цемент.
Маргинальная часть десны окружает верхнюю часть корня и шейки зуба, прочно прикрепляясь к ним с помощью соединительной ткани, состоящей из коллагеновых волокон. В норме это достаточно прочное соединение, оно предотвращает попадание частиц пищи в поддесневое пространство и дополнительно фиксирует зуб в лунке.
Что такое рецессия десны?
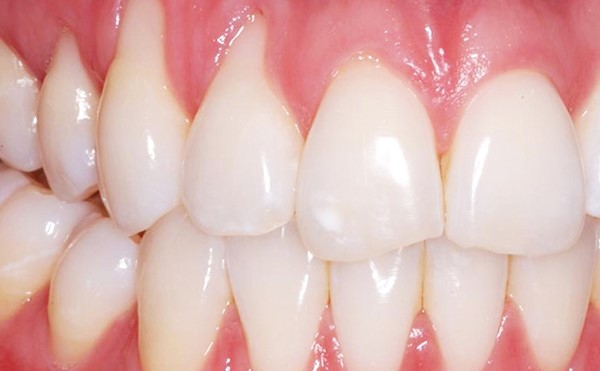
Для чего все эти анатомические подробности? Чтобы понимать основную проблему, которая решается с помощью гингивопластики, — а именно рецессию десны. Это такое заболевание, при котором дёсенная ткань на верхней челюсти начинает подниматься, а на нижней — опускаться. В результате обнажается шейка и корень зуба, на которых нет эмали. Рецессия затрагивает отдельные зубы или весь зубной ряд, может быть лёгкой (до 3 мм), средней (3–5 мм) и тяжёлой (более 6 мм). Зрелище в любом случае не очень, особенно на фоне здоровой десны.

Зубы со здоровой и рецессивной десной
Причин рецессии десны много:
- Эволюционный фактор. В меню наших предков не было этих ваших смузи, зато было много жёсткой еды. И широкие челюсти, чтобы такую пищу пережёвывать. Изменение рациона питания и пищевого поведения привели к тому, что у современных людей челюсти уменьшились, а зубы нет. В результате они окружены тонкой костной тканью, а то и вовсе одной лишь десной, которая начинает «сползать» с зуба при малейшей травме или регулярной чистке жёсткой щёткой.
- Особенности строения альвеолярного отростка. Зубы с крупными корнями (например, клыки) спереди окружены тонкой кортикальной костью. Кровоснабжение в этом месте происходит в основном через сосуды надкостницы. При их повреждении возникают дефекты кортикальной пластинки кости, а десневая ткань ослабевает и становится более уязвимой перед механическими нагрузками.
- Аномалии мукогингивальной линии (mucus — слизь, слизистая и gingiva — десна). Эта линия отделяет прикреплённую десну от подвижной слизистой оболочки преддверия рта. Из-за слишком узкой прикреплённой десны и мелкого преддверия рта возникает атрофия десневой ткани, приводящая к рецессии.
- Аномалии прикуса. Скученное или иное неправильное положение зубов приводит к высокой нагрузке на них и окружающие костные ткани, истончая их. Как следствие — атрофия и рецессия десны, так как ей не к чему прочно фиксироваться.
- Микробный фактор. Скапливающийся в десневом кармане (углублении между маргинальной десной и зубом) бактериальный налёт вызывает гингивит и пародонтит. Воспаление разрушает альвеолярную костную и дёсенную ткань, нарушает кровоснабжение десны, и она «уходит в закат».
- Травмы. В первую очередь это использование слишком жёстких зубных щёток, чрезмерно старательная или неправильная (горизонтальная) чистка зубов. Также сюда можно отнести неправильное использование зубочисток, кусание посторонних предметов (карандашей, ручек), травмирование десны нависающими коронками и пломбами, повреждение (вывих, отлом) самих зубов и т.д.
- Ортодонтическое лечение. Рецессия десны — частый спутник брекетов. Здесь влияет истончение альвеолярной кости и десневой ткани вследствие самого силового воздействия, и затруднительная гигиена полости рта. Неправильно поставленные скобы также могут травмировать десну и кость.
- Курение. Вдыхаемый сигаретный дым воздействует на ткани десны и альвеолярной кости как термически, так и химически. Содержащийся в нём никотин и другие компоненты нарушают их кровоснабжение, повышают аутолиз клеток, провоцируют развитие воспалительных реакций.
- Ятрогенный фактор (ἰατρός — врач). Ятрогенными называют факторы, которые возникают в результате действий врача. Часто к рецессии десны приводит стоматологическое вмешательство. Например, попавшая на десневую ткань мышьяковистая паста вызывает её атрофию и некроз. Использование стоматологических боров, шлифовальных и сепарационных дисков также может спровоцировать травму десны и альвеолярной кости.
Рецессия десны грозит следующими последствиями:
- Повышается чувствительность зубов — и, как следствие, ухудшается гигиена рта. Пациенту просто больно чистить зубы, из-за чего на них начинает скапливаться бактериальный налёт. Он, в свою очередь, вызывает дальнейшую рецессию десны. Получается замкнутый порочный круг.
- Возникает клиновидный дефект — некариозное поражение пришеечной части зуба в виде щелеобразного углубления. Оно образуется из-за того, что потерявшая защиту шейка зуба начинает повреждаться жёсткой механической щёткой. Опять же, повышается чувствительность зуба, нарушается качество гигиены, развивается бактериальный налёт. А он, в свою очередь, вызывает уже кариес.

Так выглядит клиновидный дефект зуба
- Становится банально некрасиво — оголённые корни при улыбке и разговоре выглядят нездоровыми. А здесь всего шаг до снижения самооценки, социальной дезадаптации, проблем в общении, развития депрессии, особенно у людей с подвижной психикой, психоэмоциональными нарушениями.
Как и когда лечить рецессию десны?
Рецессия десны — это всегда патология, которую нужно лечить. Лечение может быть разным:
- Консервативное. Это в первую очередь постановка правильной гигиены рта. Проще говоря — замена щётки на более мягкую, чтобы меньше травмировать десну, и обучение правильной чистке зубов. Такое лечение назначается, если десна стабильна, рецессия не прогрессирует и не сопровождается высокой чувствительностью. После замены щётки возможно частичное или полное самостоятельное восстановление дёсенной ткани.
- Профессиональная чистка. Если рецессия вызвана плохой гигиеной рта, то нужно вычищать скопившийся налёт в кабинете у стоматолога с последующей постановкой правильной гигиены рта. Это снимает воспалительный процесс — одну из главных причин рецессии десны. Если сами зубы ещё не повреждены, то возможно самостоятельное частичное или полное восстановление.
- Хирургическое. Это, собственно, и есть пластика десны — то есть пересадка родного трансплантата, взятого с нёба пациента. Она рекомендуется при тяжёлой форме рецессии или если врач не уверен в том, что в будущем ситуация не ухудшится. Также пластику десны проводят при клиновидном дефекте, так как простое пломбирование адгезивными материалами возможно только в коронковой части зуба — от корневой части они быстро отслаиваются. Там образуется микрощель, куда попадают остатки пищи и микроорганизмы со вполне понятным исходом в виде воспаления и дальнейшей рецессии десны.
Проще говоря, конкретное лечение выбирается по следующей схеме:
- Пациент приходит к врачу на плановый осмотр ротовой полости или с жалобой на выявленную рецессию. Как правило, это происходит у гигиениста.
- Во время гигиены врач предварительно определяет причину рецессии и при необходимости консультируется с ортодонтом, хирургом. Если нужно именно ортодонтическое лечение, то отправляет к ортодонту. Если осмотр выявил слабость десны и риск дальнейшего ухудшения, то рекомендуется провести пластику.
Выбор способа и порядка лечения рецессии также зависит от положения зубов пациента:
- Зубы веерообразно выдвинуты вперёд. В этом случае ортодонт «задвигает» их назад, а десна сама заполняет появившееся пространство. Тогда операция может не потребоваться вообще или потребоваться в меньшем объёме. Решение по ней принимается после ортодонтического лечения.
- Зубы наклонены внутрь. Такое состояние вызывается узкой челюстью, которую придётся расширять. Соответственно, рецессия десны может усугубиться, поэтому пластика назначается до лечения. Если после лечения рецессия проявилась снова, назначается повторная пластика. Это выгоднее, так как эффективность 2 операций маленьких рецессий почти 100-процентная, а шансы на успешный результат 1 операции на большой рецессии значительно ниже.
Есть ещё один момент, когда может быть назначена пластика десны, — эстетический. Да, рецессия не всегда сопровождается высокой чувствительностью и болью, но она всегда заметна, когда человек открывает рот. Поэтому желание пациента вернуть себе нормальную улыбку — вполне достаточная причина для проведения операции, даже если медицинских показаний нет.
Итак, чтобы было проще — показания к проведению пластики десны бывают:
- немедицинскими — желание пациента исправить эстетический дефект полости рта, мешающий нормальной социальной жизни;
- медицинскими — высокий риск дальнейшего развития рецессии, высокая чувствительность зуба из-за оголения корня, клиновидный дефект, кариес шейки зуба.
Как проводится пластика десны?
Операция проводится только на стабильной десне, без воспалений и других осложнений. То есть сначала пациент, если у него есть какие-то проблемы с ротовой полостью (гингивит, кариес, пародонтит и т.д.), отправляется к другому врачу, проходит соответствующую чистку, лечение. К хирургу на пластику он попадает уже со стабилизированной десной.
Сама операция проводится по следующей схеме:
- проводится предварительная санация ротовой полости, применяется местная анестезия;
- от альвеолярной кости частично отделяется участок «родной» десны, образуется карман, в который затем будет подсажен трансплантат;

До пластики
- с области твёрдого нёба пациента забирается участок слизистой нужного размера (трансплантат), который подсаживается и подшивается внутрь кармана;

Белый червячок на десне — тот самый трансплантат
- отделённый участок «родной» десны вместе с подшитым трансплантатом подтягивается так, чтобы закрыть шейки проблемных зубов, и фиксируется швами.

Швы выглядят жутко, но будут сняты через 2 недели
Сама операция на этом заканчивается. Хотя процедура безболезненна, назвать её безобидной нельзя. После неё возникает отёк и гематома — не то, чтобы они сильно осложняют жизнь пациенту, но неприятные ощущения доставляют. Поэтому сразу после операции мы ему предлагаем специальное мороженое для охлаждения ротовой полости, а также прописываем анальгетики, антибиотики, противоотёчные таблетки или уколы.
Восстановление после реабилитации
Реабилитация после пластики десны нужна всегда — трансплантат должен прижиться, а травмированные ткани восстановиться. Условно этот период можно разделить на несколько этапов:
- Первые 2 недели после операции. За это время спадает отёк и гематома, десна приживается, но остаётся нежной. В конце второй недели, если всё хорошо, снимаются швы.
- 6–10 недель после снятия швов. Прооперированная десна окончательно стабилизируется, становится устойчивой к механическим нагрузкам. Если этот этап прошёл без осложнений, то можно говорить об успехе операции.

Небольшой послеоперационный отёк десны
Крайне важно, чтобы пациент соблюдал рекомендации врача:
- специальную щадящую диету из мягкой пищи с консистенцией смузи или детского питания в течение 1–1,5 месяцев;
- использование специальных хирургических щёток с мягкой и частой щетиной Curaprox и раствор-антисептик (хлоргексидин) той же марки для гигиены полости рта и местной антисептической обработки;
- исключение какого-либо стоматологического вмешательства в течение 2 недель после операции — расширители (оптрагейты) растягивают ткани щёк и губ, что ухудшает заживление.
Бывает так, что пациент забылся и нарушил рекомендации — например, съел сухарик. И тут возможны следующие сценарии развития событий:
- прооперированная десна не травмирована и можно жить дальше, раскаявшись и строго соблюдая рекомендации врача в дальнейшем;
- швы прорвались через десну, и она вернулась к предоперационному положению;
- швы разошлись, и десна опустилась ещё ниже, чем была до операции.
Соответственно, если десна повредилась, операцию приходится проводить заново. А можно это сделать только через 3-4 месяца — то есть всё это время пациент будет жить с изуродованной по собственной неосмотрительности десной. Возможны и другие осложнения после гингивопластики:
- сохранение отёка по истечении 7–8 дней после операции;
- непрекращающееся кровотечение;
- повышенная подвижность зубов.
Естественно, любое осложнение пластики десны, независимо от причины её появления, требует экстренного обращения к стоматологу.
Какие есть альтернативы пластике десны?
Если речь идёт о лечении серьёзной рецессии с большой убылью десны, высокой чувствительностью, клиновидным дефектом и другими осложнениями — то никакой альтернативы нет.
В случае с клиновидным дефектом или кариесом шейки зуба часто пытаются проблему высокой чувствительности решить пломбированием. Объясняю, почему это бессмысленно:
- при этих дефектах страдает как коронковый отдел зуба с прочной эмалью, так и коренной, покрытый цементом;
- современные пломбировочные материалы хорошо фиксируются на эмали и дентине, но тут вмешивается проклятый сопромат — из-за отсутствия нормальных прочных стенок для упора пломба просто выпадет при плоскостном сдвиге, к тому же в этой зоне её сложно изолировать от жидкости и адгезия к цементу корня крайне слабая, из-за этого нарушается герметизм;
- если запломбировать клиновидный дефект или кариес шейки, то со временем часть пломбы, прилегающая к корню, просто отслоится со вполне предсказуемым результатом.
Поэтому для лечения клиновидного дефекта или кариеса шейки зуба применяется комбинированный метод — коронковая часть дефекта пломбируется, а коренная закрывается десной.
А если десну надо урезать?
Гингивопластика позволяет и это — тогда она называется гингивэктомия. Чаще всего такая операция проводится, если десны слишком много (или слишком мало зубов), как на фото ниже:

Гингивэктомия — до и после
Усекать десну нужно в следующих случаях:
- При нарушении пассивного прорезывания зубов — на языке нормальных людей это называется «десневая улыбка».
- При гиперплазии дёсенной ткани — когда она аномально разрастается и перекрывает коронковую часть зуба.
В некоторых случаях альтернатива гингивэктомии — это ортодонтическое лечение. Например, иногда нарушение пассивного прорезывания зубов совмещено с их неправильным (чаще всего нёбным) расположением. Тогда мы «раздвигаем» улыбку в сторону щёк, и десна может сама «сползти» до нужного уровня. Если она этого делать не торопится, то ортодонтическое лечение комбинируется с хирургическим усечением дёсенной ткани.
С гингивэктомией нужно быть аккуратным — есть риск хватануть лишнего и спровоцировать рецессию десны. Чтобы исключить такие риски, мы делаем следующее:
- делаем серию фотографий улыбки пациента, по ним предварительно оцениваем, насколько нужно подрезать десну;
- создаём digital smile design — цифровую трёхмерную модель улыбки, по которой до долей миллиметра определяем оптимальную линию десны;
- если нужно, подготавливаем накладные шаблоны для зубов, которые при операции исключат отсечение слишком большого количества ткани.
Здесь главный клинический и эстетический ориентир — строение самого зуба. А именно цементно-эмалевое соединение, которое отделяет коронковую часть от корневой. Иными словами, после операции коронка должна быть над десной, а корень — под ней. Это и для здоровья рта полезно, и улыбку делает более гармоничной.
Сколько клиник в Москве проводят пластику десны?
По моим личным наблюдениям, в Москве такую операцию проводят примерно в 20% стоматологических клиник. В других городах России этот процент ещё меньше. Никого из коллег, упаси Боже, не хочу обижать. Но операция эта не то, чтобы сложная, но тонкая, здесь требуется большой опыт и специальные навыки.
Зато с ценами всё в порядке. В нашей клинике пластика рецессии одного зуба стоит 23 000 рублей. Для сравнения, удаление одного зуба — 20 000 рублей. То есть цены вполне адекватные и подъёмные для большинства пациентов. Для этой операции не нужно постоянно покупать дорогие расходники, трансплантат берётся у самого пациента. Качественный инструмент стоит дорого, но его один раз купил — и можно пользоваться долго. Так что деньги вкладываются в данном случае скорее в навыки и голову врача.
P.S. Если вы дойдёте до наших клиник, то говорите, что вы с Хабра, будет скидка 5%.
Автор: Максим Михайлов


