Костные пластики — одни из самых простых и одни из самых сложных операций в стоматологии в зависимости от типа. Иногда это часть имплантации, а иногда сама имплантация — маленькое приложение к счёту на пластику.
Сегодня у нас ещё один интересный случай симпатичной девушки, у которой не хватало трёх зубов с левой стороны внизу. Кость ушла, виден явный провал. Дважды делала операцию у другого врача, но подсаженная костная ткань не приживалась. Во второй раз вообще развилось воспаление, пришлось всё чистить и делать заново. Осложнялось всё тем, что девушка ещё и носила брекеты, а в этом случае костная пластика, мягко говоря, становится интереснее. Похоже, что именно этого и не учёл предыдущий хирург.

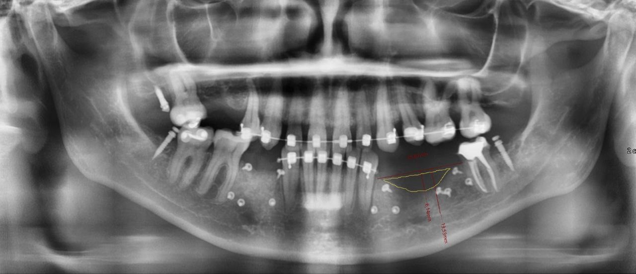
Видны следы от прошлой неудачной операции
Внимание! Ниже будут фотографии ротовой полости, в том числе с кровью. Если это может шокировать вас, то будьте осторожны!
Как началось
Судя по всему, в брекетах как раз и была проблема. Пока они стоят, зубы смещаются. Остеокласты разрушают кость — условно там, куда двигаются зубы. А остеобласты выращивают кость. Когда в область действия этих процессов попадает какая-то инородная кость, она стремительно рассасывается, исчезает. Вот и у неё оба раза вроде всё поставили, а через пару месяцев новой кости нет.
Почему кость «уходит»?
С точки зрения стоматолога-хирурга кость — это самый проблемный элемент ротовой полости. Точнее, альвеолярная кость нижней челюсти и альвеолярный отросток верхней. Это гребни, в которых, собственно, и находятся зубные корни. При утрате зубов кость рассасывается очень быстро. Уже через полгода мы теряем около 23 процентов, ещё 11 процентов уходит в следующие пять лет. И чем дольше отсутствуют зубы, тем больше костной ткани исчезает.
У здорового человека корни зубов постоянно стимулируют челюстную кость при пережёвывании пищи. Организм, получив эти сигналы, направляет по месту кальций и другие питательные вещества, сохраняя плотность костной ткани и способствуя её дальнейшему росту. Если же стимуляция прекращается, то организм быстро понимает: всё, кость там больше не нужна, можно отгружать кальций и другие ресурсы по какому-нибудь иному адресу. Те же процессы происходят не только во рту, но и с другими костями. Совместная работа остеобластов и остеокластов перестраивает структуру костей по всему организму, ориентируясь на нагрузки. Представьте себе Эйфелеву башню, которая меняла бы структуру балок в зависимости от сезона и ветровой нагрузки. Поэтому, например, у лежачих больных кости нижних конечностей истончаются и могут сломаться от невысоких нагрузок.

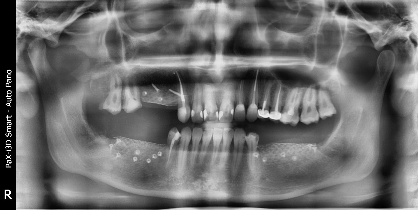
Это снимок ротовой полости другого пациента, которому показана костная пластика. На нижней челюсти справа и слева от оставшихся зубов кость просела, объём необходимо восполнить. Ниже при описании операции я покажу фото того же пациента после операции.
Из-за этого, кстати, имплантация выглядит предпочтительнее, нежели традиционные методы протезирования. Ведь имплант сохраняет жевательную нагрузку на то место, где был зуб. А под мостовидным протезом костная ткань атрофируется так, словно и нет никакого протеза.
Пациент, который после удаления или потери зуба сразу мчится на имплантацию, — очень редкий случай. Вот пример ситуации после незапланированного торможения в дерево. Как правило, к нам приходят через несколько месяцев или лет, когда кость здорово просела и гребень превратился чуть ли не в острый клин. И тогда установить имплант в правильную позицию трудно и даже невозможно: не за что зацепиться. Нужно восполнить дефицит костной ткани.
Это и есть показания к остеопластике — искусственному наращиванию кости. Естественно, это делает имплантацию более длительной и болезненной процедурой. К тому же обходится дороже и откладывает счастливый миг обретения коронки на импланте на несколько месяцев. Однако пренебрегать процедурой по экономическим или каким-то другим мотивам я бы не советовал, потому что установленный на недостаточное основание имплант может начать расшатываться под нагрузкой, что чревато поломкой, воспалением и другими не самыми приятными последствиями.
Герметичность
Остеопластика — это наращивание объёмов кости специальной костной стружкой, порошком или целыми костными блоками. Материал может быть синтетическим, например, керамика из гидроксиапатита или трикальцийфосфата. Или это может быть аллогенный трансплантат, его изготовляют из костей умерших людей. Материал в этом случае подвергают специальной обработке: облучают, сушат, держат в кислоте и других химикатах… В общем, его максимально очищают, нейтрализуя иммунные реакции и исключая заражение пациента.
Похожие манипуляции проводятся при изготовлении ксенотрансплантата — это заменитель костной ткани из костей крупного рогатого скота, свиней, лошадей. Такой материал очень востребован, когда нужны большие объёмы. Мы часто используем кости быков.
Но самый чистый и совместимый заменитель костной ткани — это аутотрансплантат, то есть собственная костная ткань пациента. Она берётся тут же, из ротовой полости, например, из дальней части зубного ряда или из подбородка.
При этом нужно всё сделать в одной операционной: хирург забирает костную ткань, передаёт стоматологу, а тот прямо на месте проводит трансплантацию. Перевозить нельзя: считается, что аутогенный материал, который вынесли из стерильной операционной, уже нестерилен, обратно в человека его «вставлять» нельзя.
Вот пример такой операции для пациента-проказника.
Собственная костная ткань, конечно, приживается лучше всего. Но сама операция по забору материала — это дополнительное хирургическое вмешательство со всеми вытекающими последствиями: это боль, отёки, период заживления. А ещё у стопроцентной совместимости есть серьёзный минус — собственная кость быстро рассасывается. То есть зашиваешь, а через несколько месяцев открываешь и видишь, что костный материал, к примеру, на треть ушёл. Или вообще рассосался, как будто и не было операции.
Поэтому собственную кость без примесей используют редко. А в смеси с чужеродной тканью эффект получается очень даже стабильным. Синтетика, аллогенный или ксеноматериал держат объём, если добавить аутогенную стружку, она покажет организму: «Я своя, всё в порядке», и тот не будет отторгать и бороться. Пропорции смеси могут быть 50 на 50 или 70 на 30: всё зависит от того, какой необходим объём.

Смесь из синтетической (белая) и извлеченной собственной (красная) костной ткани. Здесь пропорция примерно 50 на 50.
«Неродные» материалы более доступны. Правда, у каждого есть свои плюсы и минусы. Возьмём синтетику. Из плюсов — абсолютная чистота. А недостаток — отсутствие остеоиндукции, то есть способности стимулировать рост тканей. Чистая синтетика практически не используется, обычно её смешивают с родной костью. Но бывают случаи, когда, например, человек перенёс уже несколько операций, и брать костную ткань уже негде. Тогда да, можно попробовать и чистую синтетику.
То же касается и аллогенного или ксеноматериала. С костью животного происхождения, кстати, труднее. Здесь герметичность — наше всё, нужно шить так, чтобы ничего не оголилось потом. Потому что, если оголяется что-то своё, то организм говорит: «Это моё, здесь человеческий иммунный комплекс, не буду отторгать». А если вылез, грубо говоря, кусок коровы, то иммунная система сразу встаёт на дыбы: «Это что за ерунда, я сейчас буду изгонять!» Поэтому в таких случаях из двух часов операции половину времени я шью. Иногда 20–30 швов получается.
Ниже я подробнее расскажу о некоторых методиках. Но все они нацелены на одно — так или иначе разместить костный заменитель там, где необходимо восстановление. И сделать это надо так, чтобы пациент проходил с заменителем четыре–восемь месяцев, пока тот не прорастёт кровеносными сосудами и не заместится новыми костными клетками.
И вверх, и вглубь

До костной пластики

После костной пластики
Вертикальная пластика — это когда костного материала не хватает по высоте. Есть ещё пластика горизонтальная, в этом случае объём кости недостаточен по ширине. Например, когда гребень практически острый, его расщепляют, раздвигают, засыпают внутрь костную стружку и закрывают мембраной.
На верхней челюсти вертикальная пластика нужна очень редко, почти никогда. Потому что за счёт мощного кровоснабжения на верхней челюсти кость по вертикали не рассасывается. Там если что и нужно, то горизонтальная пластика или синус-лифтинг — наращивание костной ткани в области гайморовых пазух.
Так что вертикальную пластику мы обычно делаем на нижней челюсти. Это сложнее, потому что обязательно нужен каркас, защищающий новую молодую кость от нагрузки сверху. Когда мы увеличиваем объём по горизонтали, давление сверху приходится на собственную кость, а боковой нагрузки практически нет. А при вертикалке нужна защита. А ещё нужно десну на новую кость натянуть и ушить так, чтобы ничего не оголилось: тоже задача не из простых.
Одна из распространённых методик вертикальной костной пластики — трансплантация блоками. Из донорской части вырезается небольшой костный блок и помещается туда, где кости не хватает. Крепится блок миниатюрными титановыми винтами или пинами. Со временем новая кость срастается с альвеолярным гребнем, и всё это превращается в единую костную ткань.
Ещё один способ — метод Кури, его ещё называют сэндвич-техникой. Из донорского участка вырезают костные пластины, «чипсы» толщиной в 1 мм. Из этих «чипсов» формируется конструкция, похожая на карточный домик: стенки прикручиваются к кости челюсти, внутрь засыпается аутогенный костный материал, сверху всё это закрывается «крышкой», десна ушивается. Со временем пластины и стружка превращаются в единую ткань, восстанавливая высоту и ширину кости.

Метод Кури. Пластика в моменте.

Результат через шесть месяцев
У каждой техники есть плюсы и минусы, и каждый врач выбирает для себя самую эффективную. То есть ту, что даёт в его руках лучший результат и при этом оказывается для пациента наименее травмирующей. Остеопластика блоками, как и любая аутогенная трансплантация, даёт прекрасные результаты с точки зрения совместимости, однако забор донорской кости в этом случае — процесс весьма болезненный. И послеоперационный период может длиться до двух недель. К тому же собственные костные блоки могут быстро рассасываться. Исходя из этого многие врачи выбирают менее травмирующие и более надёжные техники.
К ним, например, относится направленная тканевая регенерация — НТР (Guided Tissue Regeneration — GTR). Костная стружка при этой технологии заполняет восстанавливаемый объём и фиксируется при помощи барьерной мембраны — мягкой или жёсткой пластины. В этом случае забор донорской костной ткани тоже необходим для приготовления смеси. Но не нужна болезненная операция: мы забираем ткань остеохарвестером — своеобразным сверлом, которое аккумулирует стружку в специальной капсуле. Операция занимает несколько минут, мы высверливаем небольшое отверстие, которое потом быстро восстанавливается.

Только что извлечённая аутогенная костная ткань
Барьерные мембраны тоже бывают разные. Например, есть резорбируемые, то есть те, что сами рассасываются со временем. Чаще всего их делают из коллагена. Плюсы здесь очевидны: их не нужно извлекать хирургическим путём. Но есть и минусы. Главный в том, что они мягкие, не могут держать форму и защитить от компрессионного воздействия. Не поверите, сколько любителей погрызть сухарики встречается среди тех, кто только что перенёс остеопластику! Но доктора не живут с пациентами и не дают им подзатыльник каждый раз, когда те делают что-то, что не следовало бы. К тому же рассасывающуюся мембрану нельзя ставить там, где нужно увеличить кость больше чем на два миллиметра, так что область их применения очень узка.
В остальных случаях можно использовать нерезорбируемые барьерные мембраны или другие средства, например, титановую сетку. Признаюсь, что для меня именно титановая сетка — самая приемлемая технология. В моих руках именно она даёт лучшие результаты, и методы работы с такими каркасами я преподаю.

Снимок ротовой полости того же пациента, о котором мы говорили вначале. Нижняя челюсть, справа и слева от оставшихся зубов проложена смесь костной стружки. Она закреплена каркасом из титановой сетки, которая, в свою очередь, закреплена титановыми винтами.
Титановую сетку можно подобрать для любых условий операции, они есть любых размеров с самыми разными диаметрами отверстий, разной толщины и прочности. Сетка стойкая к нагрузкам, титан крайне редко вызывает аллергические реакции и почти не отторгается организмом. Что ещё? Пожалуй, всё, рекламная пауза окончена.
«Репетиция» перед выступлением
Всегда ли нужно делать остеопластику или её можно избежать? Можно, если нет показаний. Мы стараемся не выходить на эту долгую и мучительную для пациента процедуру, если есть шанс обойтись. Даже в случае прекрасной подготовки и исполнения операции успех приходит примерно в 80 процентах случаев. В 20 процентах, то есть в одной операции из пяти, по разным причинам всё заканчивается отторжением, воспалением. Это, конечно, много. Но если посмотреть под другим углом… В нейрохирургии осложнения бывают в 40 процентах случаев. И там, как я понимаю, — это осложнения: человек может остаться инвалидом до конца дней. У нас полегче. Ну не прижилась кость — что ж, сделаем заново. К тому же эти 20 процентов — общемировая статистика. У каждого врача и каждой клиники она своя, у нас показатели намного позитивнее. Но, как и везде в хирургии, каждый дополнительный процент снижения рисков удваивает цену операции за счёт стоимости работы хирурга и технологий клиники.
Любая операция — это всегда риск, травма, боль и вероятность повредить артерии, нервы и так далее. При навигационной имплантации вероятность успеха — около 99 процентов. Так зачем мне зря кому-то назначать остеопластику, если я могу просто поставить имплант покороче и спокойно спать? Есть чёткий принцип: не нужно превышать показания. У каждого типа имплантов есть чёткие области применения и допустимые нагрузки. Если зубы отсутствуют давно и атрофия кости значительная, то показания есть. Без операции в этом случае, к сожалению, не обойтись.
Что же заставило девушку делать остеопластику до окончания ортодонтии? Есть такой нюанс: за два-три месяца до конца ортодонтии импланты уже можно ставить. И даже нужно, чтобы после ортодонтии можно было сразу протезировать, иначе пустоты могут спровоцировать обратное движение зубов. Последние два-три месяца ношения брекетов зубы уже стабилизируются на новом месте, остеокласты перестают разрушать кость, остеобласты регенерируют ткань на своём участке. Так что противопоказаний к имплантации нет. А вот с костной пластикой — проблема.
Мы начали с того, что ортодонт зафиксировал зубы. На это потребовалось около двух месяцев, движение зубов остановилось, мы смогли перейти к остеопластике. Сама операция прошла вполне штатно. И потом мы подождали около полугода, чтобы кость сформировалась и… Вы думаете, мы поставили импланты? Ничего подобного: мы снова поставили брекеты, чтобы она могла доносить их положенные два-три месяца.
Кстати, после костной пластики зубы двигаются немного быстрее: кость становится менее однородной, размягчается, сопротивление меньше. Когда зубы встали на место, мы смогли перейти к обычным процедурам: имплантация, ожидание, потом — протезирование. В итоге у девушки появились прекрасные импланты и коронки.

Та же девушка с брекетами после костной пластики и имплантации. Видно, что с левой стороны кость выровнялась. Настолько, что была возможность поставить импланты потолще. С правой стороны костной пластики не было. Кость была тонкая, но всё же мы пришли к выводу, что показаний к пластике нет. Но там поставили импланты тоньше. Когда они прижились, толщина уже не имеет значения, они так же хорошо держат нагрузку.
Правда, общее время ношения брекетов увеличилось на семь-восемь месяцев: быстрее кость, к сожалению, не приживается. Точнее, время можно сократить месяца на два, если принимать специальные препараты. Но в России они не сертифицированы. Так что, если хочется побыстрее и нет проблем с деньгами и временем, можно на время уехать куда-нибудь за границу, где с сертификатами всё в порядке. В нынешней ситуации, однако, это скорее из области фантастики.
В нашем случае девушке требовалась костная пластика под три импланта. Мы делали с титановой сеткой. Это было около трёх лет назад, операция обошлась ей в общей сложности в 110 тысяч рублей. Сегодня это стоило бы около 200 тысяч.
Титановая сетка — это, скажем так, технология средней стоимости. Есть дороже — методика с цитопластовой мембраной. Там стоимость графта такая же, но мембрана стоит дороже сетки в три-четыре раза.
А техника с костными блоками дешевле. Это вообще самая простая операция, и расходного материала минимум. Но она и самая болезненная. Ведь и операционная зона болит, и место, откуда взята кость, болит. К тому же такой способ даёт самую большую усадку и вообще непрогнозируемый результат. Человек страдает, мучается, а потом приходит к врачу, а ему говорят: «Не получилось, извини».
Сама операция проходит примерно так: сначала мы делаем 3D-модель челюсти пациента и распечатываем её на 3D-принтере. На этом куске пластмассы мы предварительно проходим все этапы, в том числе делаем из титановой сетки каркас, «отжимаем» его, формируем ровную конструкцию той формы, которая необходима.

На такой распечатанной на 3D-принтере челюсти мы формируем каркас из титановой сетки и прогоняем все этапы операции
Этот этап очень важен: он позволяет приготовиться к возможным сюрпризам в спокойной обстановке, а не «отбиваться», когда пациент уже второй час сидит с открытым ртом. К тому же подготовка здорово сокращает время операции: вскрываем десну, отслаиваем от кости, наполняем заранее сформированный каркас костной смесью, крепим его к челюсти и ушиваем сверху десну.
Через две недели снимаем швы. Кто-то, наверное, спросит: почему бы не поставить резорбируемые, рассасывающиеся швы? Нет, нельзя: они не дают нужной герметичности.
Мы прощаемся с пациентом на восемь-девять-десять месяцев. Потом снова встречаемся: вынимаем сетку, ставим имплант. Снова зашиваем и выпроваживаем пациента где-то на полгода. И только потом можно считать, что местный иммунитет сформирован достаточно качественно, можно переходить к протезированию.
Если вы не профессионал и костная пластика — не «контрольная закупка», то у вас нет ни единого шанса понять, хорошо прошла операция или нет. Вы можете получить одинаковый результат — хороший или плохой — и у самого хорошего врача, и у, скажем так, не у самого хорошего. Плохому врачу может повезти, а от хорошего, наоборот, удача может отвернуться. Отсюда и берутся эти 20 процентов неудач: вроде всё сделано правильно, а через полгода вскрываешь десну, а там ничего нет, всё рассосалось. И всё же это не всегда лотерея: довольно часто негативных последствий можно избежать, если учесть все факторы.
P.S. Если вы дойдёте до наших клиник, то говорите, что вы с Хабра, будет скидка 5%.
Автор: Андрей Гребнев
