- PVSM.RU - https://www.pvsm.ru -

Сколько клеток в человеческом теле? Одни источники считают, что их порядка 100 триллионов, другие — 37.2. Кто-бы ни был прав, любой из этих вариантов поражает. Клетки в организме любого живого существа выполняют самые разные функции в зависимости от их места происхождения. Клетки нервной системы, т.е. нейроны, работают как мини-компьютеры, собирающие, хранящие, обрабатывающие и передающие информацию посредством электрических и химических реакций. Красные кровяные тельца, т.е. эритроциты, транспортируют жизненно важный кислород по всему телу. Список можно продолжить, но суть проста — каждая клетка имеет свою четкую спецификацию, программу, если можно так выразиться, которой она будет следовать все свое существование. Или это не так? Ученые из Цюрихского университета (Швейцария) выяснили, что дентальные эпителиальные стволовые клетки мышей способны менять свою профессию под воздействием внешних факторов и переквалифицироваться в клетки молочных желез. Как именно ученым удалось это выяснить, насколько сложна процедура смены клеточной спецификации и насколько данное открытие значимо для лечения пациентов с раком молочной железы? Ответы на эти вопросы мы найдем в докладе исследовательской группы. Поехали.
Что общего между кожей и зубами? Существует гипотеза, что зубы, как и сальные, молочные и потовые железы, волосы и ногти, являются эктодермальными придатками. Все эти производные элементы (придатки) обладают своей уникальной структурой, развивающейся вследствие непрерывных молекулярных перекрестных связей между эпителием и мезенхимой*.
Мезенхима* — совокупность клеток, которые имеют сходные морфологические признаки на определенном этапе внутриутробного развития, но впоследствии эти клетки будут относиться к разным группам по клеточной дифференцировке, т.е. иметь разные функции.
На ранних этапах развития организма у всех этих органов, следовательно, и их клеток, имеются очень схожие черты, но на более поздних этапах развития молекулярная реорганизация определяет их карьеру. Изменения в экспрессии регуляторных молекул могут приводить к тому, что клетка, развивающаяся по одной линии, резко ее поменяет.
Еще одним общим аспектом для всех эктодермальных органов является наличие популяции стволовых клеток, которые могут генерировать клетки различных типов, необходимых для гомеостаза и регенерации на протяжении всего цикла существования.
Недавние опыты позволили идентифицировать различные популяции эпителиальных стволовых клеток посредством отслеживания генетической линии в органах, таких как волосы, молочные железы и зубы.
Если говорить конкретно про зубы, то у человека они, к сожалению, не регенерируют, не отрастают заново и не обновляются (на радость частных стоматологов). Но вот у грызунов резцы растут постоянно. На задних концах резцов мышей были обнаружены мультипотентные* дентальные эпителиальные стволовые клетки (DESC — dental epithelial stem cell), которые экспрессируют маркеры стволовых клеток Gli1, Bmi1 и Sox2.
Мультипотентные* стволовые клетки порождают клетки разных тканей, но многообразие их видов ограничено пределами одного зародышевого листка.
Логично, что эти стволовые клетки могут генерировать все зубные эпителиальные клетки. Но могут ли они создавать нечто другое?
Исследователи напоминают, что для идентификации эпителиальных стволовых клеток и оценки их пластичности при регенерации тканей чаще всего используется лабораторный анализ методом клеточной трансплантации, а молочные железы идеально подходят как объект анализа. Во время исследования регенерации молочной железы полученные из нее эпителиальные фрагменты или дезагрегированные (деленные на части) эпителиальные клетки трансплантируют в безэпителиальную мезенхиму молочной железы, т.е. в жировую подкладку, для генерации функциональных протоковых эпителиальных структур. Другими словами, клетки молодой железы превращают клетки жировой подкладки в себе подобных, наделяя их своими функциями.
Но этот классический анализ основан на применении функционирующих клеток молочной железы и нефункционирующих клеток, опять же, молочной железы. В рассматриваемом нами сегодня исследовании ученые пошли дальше и решили провести так называемую химерную рекомбинацию клеток, использовав при этом дентальные эпителиальные стволовые клетки (DESC).
Подобные эксперименты уже проводились ранее с применением нейронов, клеток костного , яичников и даже раковых клеток. Однако результаты были не самыми воодушевляющими. Дело в том, что эти не-молочные эпителиальные клетки не росли в структуре молочной железы без поддержки эпителиальных клеток молочной железы (MEC — mammary epithelial cell). Кроме того, полученные клетки не могли генерировать молочные протоки. Проще говоря, эти клетки становились клетками молочной железы, но не функциональными.
Но вот ученым из Цюриха в своем труде удалось достичь ранее невиданного — заставить дентальные эпителиальные стволовые клетки генерировать не зубные клеточные линии. Рассмотрим же как им это удалось.
Как и в классических лабораторных исследованиях, в данном труде был использован метод регенерации молочной железы для оценки пластичности DESC клеток, а также их умения генерировать эпителиальные клетки молочной железы после трансплантации в жировые отложения (1А).

Изображение №1
DESC, экспрессирующие маркеры как эпителиальных, так и стволовых клеток (1B), были получены из цервикальной петли* резцовых зубов с помощью зеленого флуоресцентного белка (GFP) для идентификации.
Цервикальная петля* — область на эмалевом органе в развивающемся зубе, где соединяются наружный и внутренний эмалевые эпителии.
Полученные DESC были смешаны с первичными эпителиальными клетками молочной железы (MECs) и введены в безэпителиальные жировые прокладки молочной железы мышей, иммунокомпрометированных геном RAG1 (ген, активирующий рекомбинацию).
Линии клеток, полученные из этих двух клеточных популяций, определялись по экспрессии GFP для DESC и индуцированной лентивирусом экспрессии флуоресцентного белка DsRed для MEC.
В качестве контрольной группы использовались мыши, которые получали инъекции только MEC клеток.
Через 8 недель после трансплантации (1C–1I) и на 16.5 день беременности (1J и 1K) в молочных железах DESC и MEC клетки образовали химерные протоковые структуры, состоящие из GFP-положительных клеток, происходящих из DESC, и DsRed-положительных клеток MEC.
Далее ученые решили провести более детальный анализ распределения трансплантированных DESC в развивающихся химерных протоках. Для этого было проведено двойное иммунофлуоресцентное окрашивание для GFP и кератина 14 (Krt14), которые являются маркерами базальных / миоэпителиальных клеток в молочной железе взрослого человека.

Изображение №2
GFP-положительные клетки наблюдались как в Krt14-положительных миоэпителиальных*, так и в Krt14-отрицательных люминальных* компартментах* (2C-2K).
Миоэпителиальные клетки* — экспрессируют белки, характерные для эктодермального эпителия и для гладкомышечных клеток. Данный тип клеток окружает секреторные отделы и выводные протоки молочных, слюнных, слезных и потовых желез.
Люминальные клетки* — выстилают апикальную (верхушечную) поверхность нормального молочного протока и обладают секреторными свойствами. Большинство разновидностей рака молочной железы возникают именно из люминальных клеток.
Компартмент* — пространство внутри клетки, окруженное мембраной и связанное с исполнением определенной клеточной функции.
Из всех эпителиальных компартментов химерных протоков молочной железы около 20% клеток происходили от DESC. Люминальный эпителий молочной железы, как напоминают нам ученые, является весьма сложной структурой из различных клеточных популяций, которые можно классифицировать на две группы: протоковые и альвеолярные.
Протоковые клетки выстилают эпителиальные протоки. Среди этих клеток есть те, что экспрессируют альфа рецепторы эстрогена. Они отвечают за активацию паракринной передачи сигналов (касательно соединения клеток в конкретном органе), необходимой для удлинения эпителия молочной железы при воздействии пубертатных эстрогенов.
Альвеолярные клетки, в свою очередь, являются основой секретирующих молоко альвеолярных отростков, которые возникают во время поздней беременности.
Двойная иммунофлуоресценция для GFP (зеленый флуоресцентный белок) и ER (рецептор эстрогена) в химерном эпителии показала, что GFP-положительные клетки могут давать как ER-положительные, так и ER-отрицательные люминальные клетки (2L-2N).
Способность GFP-положительных клеток индуцировать образование люминальных клеток была дополнительно подтверждена с помощью двойного иммунофлуоресцентного окрашивания для GFP и кератина 8.
Одним из самых важных наблюдений во время иммунофлуоресцентного и иммуногистохимического анализа было то, что GFP-положительные DESC клетки могут преобразовываться в полностью функциональный фенотип β-казеин* положительные альвеолярные клетки, продуцирующие молоко (2О-2R).
Казеин* — один из основных белков в составе молока (40% в женском молоке).
На следующем этапе исследования ученые решили проверить насколько DESC клетки пластичны и способны ли они перепрограммировать регенерацию протоков при отсутствии эпителия молочной железы.
Для этого был проведен лабораторный анализ методом клеточной трансплантации, но без применения эпителиальных клеток молочной железы, когда DESC вводились напрямую в жировую подкладку (3А).

Изображение №3
Флуоресцентный анализ всей структуры (без диссекции) выявил образование GFP-экспрессирующих небольших разветвленных эпителиальных структур (3В). Иммунофлуоресценция для GFP и детальный гистологический анализ показали, что эти образования возникли исключительно за счет клеток, происходящих из DESC (3Е), и то, что они окружены плотной фиброзной (соединительной) тканью (3C и 3D).
Морфология клеток, составляющих рудиментарные протоки, была достаточно разнообразной: от сплюснутой до столбчатой формы (3D). Для более подробного анализа этих образований была проведена оценка распределения Krt14 и ER.
Иммунофлуоресцентный анализ показал, что эти структуры состоят как из Krt8-экспрессирующих люминальных клеток, так и из Krt14-положительных миоэпителиальных клеток (3F и 3G). ER-экспрессирующие клетки были также обнаружены в эпителии этих протоков, но их экспрессия была значительно ниже, чем в полностью развитых химерных эпителиальных образований молочных желез (3H).
Также была обнаружена экспрессия казеина в некоторых протоках, происходящих из внедренных DESC (3I). Это говорит о том, что полученные клетки вполне способны инициировать дифференцировку в направлении вырабатывающих молоко альвеолярных клеток.
Еще более любопытным наблюдением стало наличие экспрессии амелогенина, являющегося типичным маркером дифференцировки амелобластов (3J). Дело в том, что эти клетки относятся к продуцентам органических составляющих зубной эмали. Следовательно, можно предположить, что имеет место как минимум частичная клеточная память о ее происхождении, несмотря на смену спецификации клеток.
К сожалению, некоторые из созданных структур преобразовывались в кистозные образования (3K-3M), для которых характерны уплощенные эпителиальные клетки, образующие монослой (3L и 3M). На данном этапе исследования такие кистозные образования возникали в 80% случаев, однако данный показатель будет уменьшаться в ходе совершенствования методики.

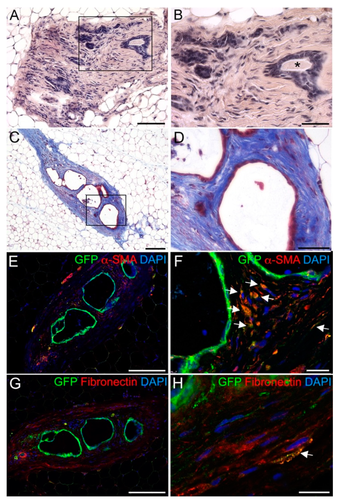
Изображение №4
Во время проведения трансплантации DESC клеток достаточно часто наблюдалось образование плотной фиброзной ткани. Фиброз был обнаружен в некоторых жировых прокладках молочной железы, где внедрялись MEC и DESC, а также во всех жировых подкладках при внедрении только DESC (4A и 4B). Неэпителиальная ткань, окружающая протоки, была составлена из очень плотной сети коллагеновых волокон, как показало трихромное окрашиванием Массона* (4C и 4D).
Трихромное окрашивание Массона* — метод в гистологии, когда различные ткани окрашиваются разным цветом, что позволяет четко определить их наличие/отсутствие, распространенность и концентрацию.
Для определения происхождения фиброзной ткани было проведено двойное иммунофлуоресцентное окрашивание для GFP (зеленый флуоресцентный белок) и SMA (гладкомышечный актин), который является маркером миофибробластов*, ассоциированных с фиброзной тканью
Миофибробласт* — тип клеток, которые одновременно напоминают фибробласт и клетку гладких мышц. В случае повреждения тканей, фибробласты участвуют в заживлении, стягивая рану.
GFP-положительные и SMA-положительные клетки, происходящие из DESC, были обнаружены в неэпителиальных компонентах молочной железы, то есть в фиброзной ткани, окружающей протоки и кисты (4E и 4F).
Кроме того, в тканях, окружающих протоки и кисты, также был выявлен фибронектин (гликопротеин внеклеточного матрикса), который является основным компонентом стромы молочной железы, а также фиброзной ткани (4G). GFP-положительные и фибронектин-положительные ткани также присутствовали вокруг протоков в фиброзной ткани (4H).
Для более детального ознакомления с нюансами исследования рекомендую заглянуть в доклад ученых [2].
Суммируя все вышесказанное, можно однозначно утверждать, что дентальные эпителиальные стволовые клетки могут генерировать все линии эпителиальных клеток молочной железы в процессе регенерации протоков молочной железы. Это говорит об их пластичности и потенциале дифференцировки по нескольким линиям.
Еще более важным открытием является факт того, что на данный момент только DESC клетки способны инициировать морфогенез ветвления, специфичный для молочной железы, в отсутствие какого-либо эпителия молочной железы. Имея такую высокую степень пластичности, DESC могут использоваться в регенерации тканей, которые не имеют никакого отношения к зубам.
Кроме того, данный труд продемонстрировал новые методы борьбы с последствиями радикального лечения рака молочной железы. Конечно, многие ученые сейчас сосредоточены на поиске методов лечения самого рака. Однако, пока эти чудо-методы не реализованы, создание техники, позволяющей регенерировать утраченные ввиду хирургического вмешательства ткани заслуживает особого внимания.

Рак молочной железы, как и любой другой вид онкологии, это ужасное заболевание, которое уничтожает как физическое, так и ментальное здоровье человека. И пока врачи лечат, а ученые ищут новые инструменты для борьбы с болезнью, родные и близкие пациентов, которые страдают от этого недуга, должны дарить им свою любовь, заботу и поддержку. Да, добрые слова не смогут уничтожить раковые клетки, но они могут разогнать тоску, печаль, чувство безысходности и подарить веру в будущее и веру в выздоровление. А вера в выздоровление это первый шаг на пути его достижения.
Благодарю за внимание, оставайтесь любопытствующими, любите своих близких, и хорошей всем рабочей недели, ребята. :)
Спасибо, что остаётесь с нами. Вам нравятся наши статьи? Хотите видеть больше интересных материалов? Поддержите нас, оформив заказ или порекомендовав знакомым, облачные VPS для разработчиков от $4.99 [3], 30% скидка для пользователей Хабра на уникальный аналог entry-level серверов, который был придуман нами для Вас: Вся правда о VPS (KVM) E5-2650 v4 (6 Cores) 10GB DDR4 240GB SSD 1Gbps от $20 или как правильно делить сервер? [4] (доступны варианты с RAID1 и RAID10, до 24 ядер и до 40GB DDR4).
Dell R730xd в 2 раза дешевле? Только у нас 2 х Intel TetraDeca-Core Xeon 2x E5-2697v3 2.6GHz 14C 64GB DDR4 4x960GB SSD 1Gbps 100 ТВ от $199 [5] в Нидерландах! Dell R420 — 2x E5-2430 2.2Ghz 6C 128GB DDR3 2x960GB SSD 1Gbps 100TB — от $99! Читайте о том Как построить инфраструктуру корп. класса c применением серверов Dell R730xd Е5-2650 v4 стоимостью 9000 евро за копейки? [6]
Автор: Dmytro_Kikot
Источник [7]
Сайт-источник PVSM.RU: https://www.pvsm.ru
Путь до страницы источника: https://www.pvsm.ru/himiya/335666
Ссылки в тексте:
[1] мозга: http://www.braintools.ru
[2] доклад ученых: https://www.mdpi.com/2073-4409/8/10/1302/htm
[3] облачные VPS для разработчиков от $4.99: https://ua-hosting.company/cloudvps/nl
[4] Вся правда о VPS (KVM) E5-2650 v4 (6 Cores) 10GB DDR4 240GB SSD 1Gbps от $20 или как правильно делить сервер?: https://habr.com/company/ua-hosting/blog/347386/
[5] 2 х Intel TetraDeca-Core Xeon 2x E5-2697v3 2.6GHz 14C 64GB DDR4 4x960GB SSD 1Gbps 100 ТВ от $199: https://ua-hosting.company/serversnl
[6] Как построить инфраструктуру корп. класса c применением серверов Dell R730xd Е5-2650 v4 стоимостью 9000 евро за копейки?: https://habr.com/company/ua-hosting/blog/329618/
[7] Источник: https://habr.com/ru/post/474568/?utm_source=habrahabr&utm_medium=rss&utm_campaign=474568
Нажмите здесь для печати.